Smile Enhancement

How do you feel about your smile?

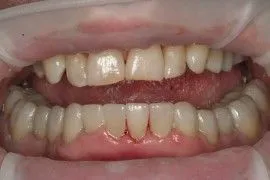
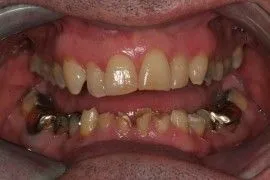
A beautiful smile radiates happiness, warmth and confidence. Your smile plays an important role in your relationships in your personal and professional life. Through the artistic process of designing and placing veneers, crowns, bonds, or selectively recontouring, Dr. Oppenlander can create the smile you have always wanted in as few as two appointments. Discolored, worn or crooked teeth and gaps can be transformed into a natural, youthful smile. A new, beautiful smile can make you look and feel younger, improve your confidence and overall health.

Our Location

HOURS OF OPERATION

Michigan Advanced Dentistry

Monday

8:00 am - 5:00 pm

Tuesday

8:00 am - 5:00 pm

Wednesday

Closed

Thursday

8:00 am - 5:00 pm

Friday

Closed

Saturday

Closed

Sunday

Closed

Michigan Advanced Dentistry

Monday
8:00 am - 5:00 pm
Tuesday
8:00 am - 5:00 pm
Wednesday
Closed
Thursday
8:00 am - 5:00 pm
Friday
Closed
Saturday
Closed
Sunday
Closed